Introduction
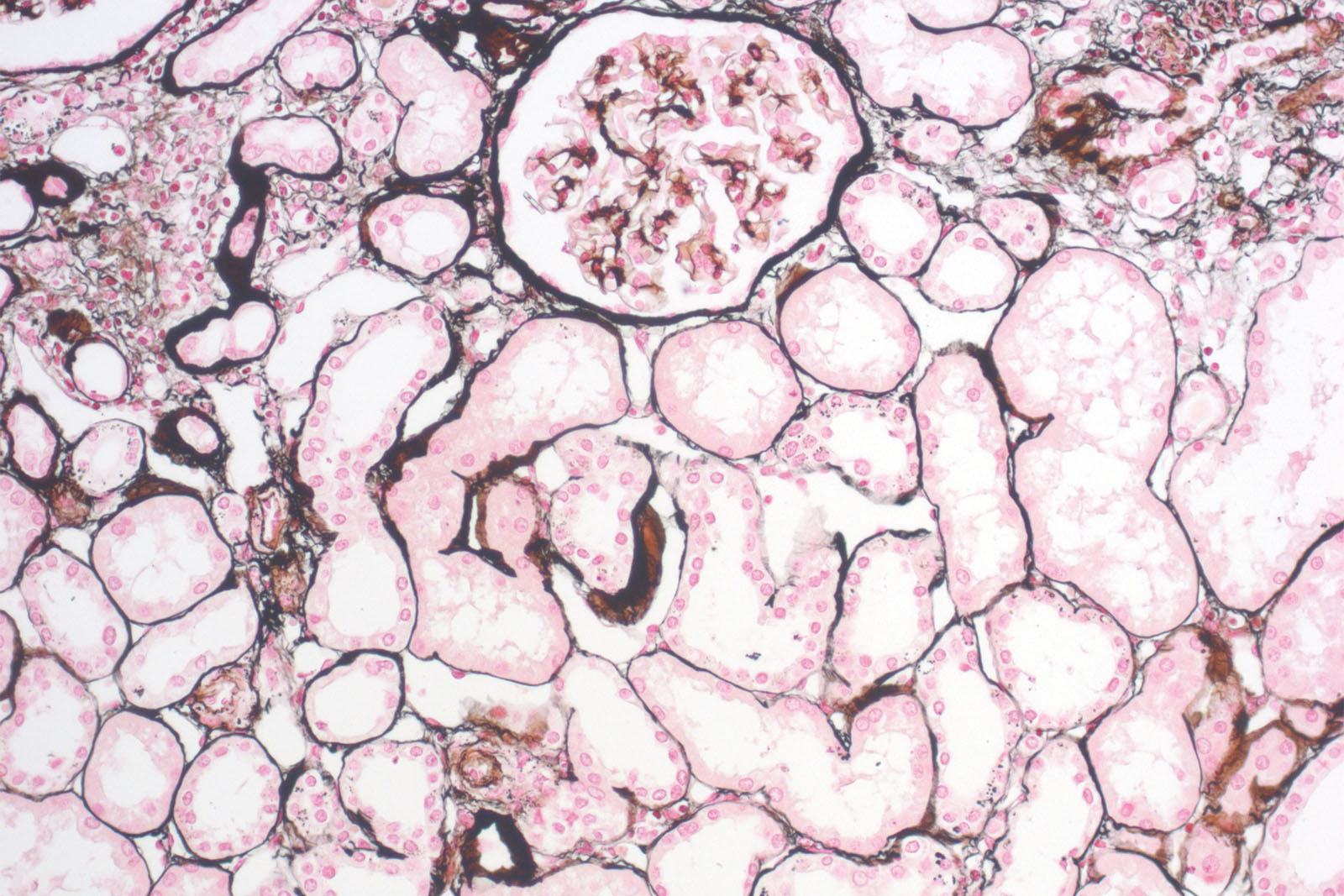
P.A.S.M. / Jones kit is used in histology for visualizing argentaffin structures, especially kidney membranes, but also fungi and certain pathogen organisms. Staining procedure starts with periodic acid solution being used to oxidize 1,2-glycols to aldehydes. During incubation in silver-methenamine-borate working solution aldehydes are reduced and at the same time cause reduction of silver ions to metallic silver that manifests as brown to black structures on the section. This is followed by toning the solution with gold chloride solution that additionally improves staining intensity of target structures (fungi, basal membranes and others), and it reduces background staining. Excessive unbound silver-gold bonds is removed by rinsing the section with sodium thiosulfate solution. Finally, the sections are exposed to Nuclear Fast Red (Kernechtrot) counterstain that stains background structures red; that in turn creates clear and visually rich contrast to target structures (colored in brown-black).


