Introduction
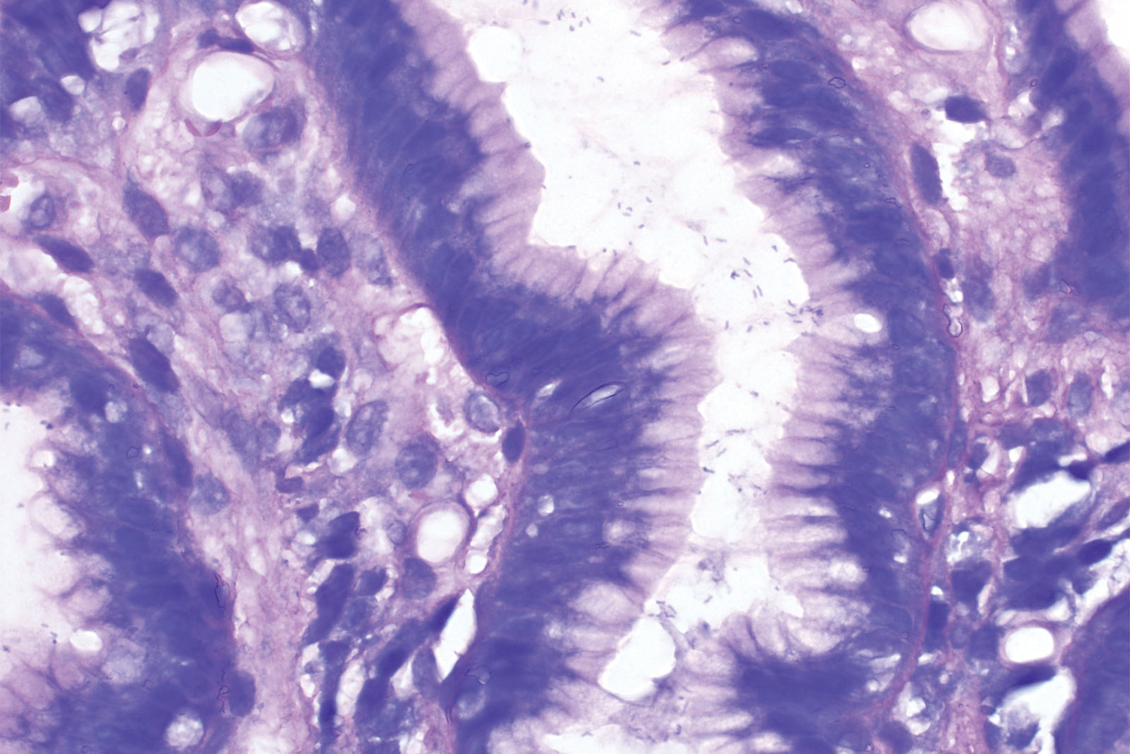
Polychromatic Romanowsky dyes are a standard in hematology of blood smears and bone marrow. Giemsa is one of the Romanowsky dyes and beside hematology, it can be used in histology for visualization of Helicobacter pylori in gastroscopic samples of the stomach. This staining method is also known as slow Giemsa staining according to Lennart. Giemsa solution may also be used to identify blood parasites, inclusion bodies and mastocytes in histology sections. Giemsa HP kit for 100 tests contains reagents for differentiation and rehydration in Ready-to-Use jars, enabling the sections to be directly immersed during the staining procedure. The jars are closed after the use, and reagents can be reused.


