Special staining kits for histology and citology
-
Colloidal Iron kit
Six-reagent kit used for visualization of carboxylated and sulphated groups of acid mucopolysaccharides and proteoglycans. This method can be combined with the PAS method; that way glycogen and neutral mucopolysaccharides would get differentially stained characteristically magenta.
-
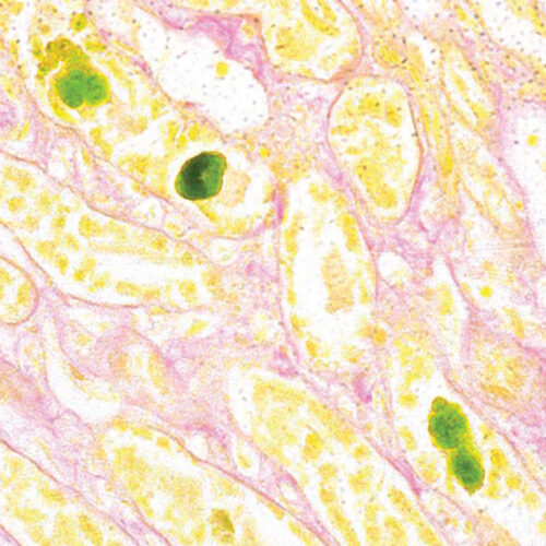
Congo Red Highman kit
Three-reagent kit for staining amyloids, characteristic for use of alkaline solution as differentiation medium in order to avoid undesirable non-specific coloration of cellular substances. Amyloid deposits display green coloration under polarized light.
-
Congo Red Puchtler kit
Three-reagent kit for staining amyloids, characteristic by its high ionic strength and pH enhancing the specificity of Congo Red dye binding to amyloid clusters. This method developed by Puchtler remains the gold standard for amyloids in tissue sections. Amyloid clusters have the property of double refraction that enables green coloration under polarized light.
-
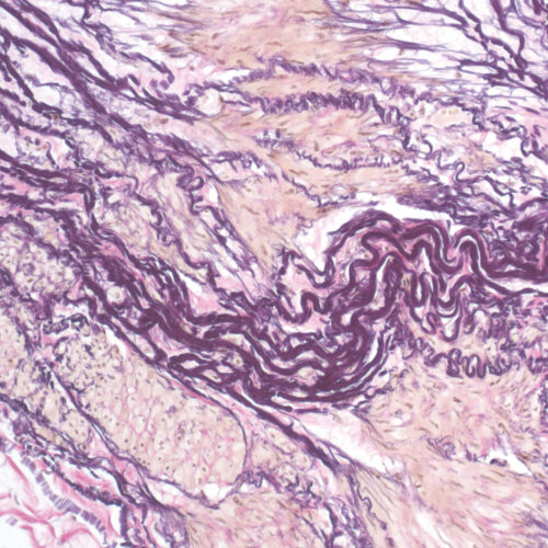
Elastica-Van Gieson kit
Four-reagent kit for staining elastic fibers and differentiation between elastic tissue, collagen and other types of connective tissue. The rapid method enables a satisfactory result with shorter section staining time.
-
Eosin and nigrosin vital kit
Two-reagent kit containing separate dyes for rapid detection of sperm vitality and simple visualization of dead and living sperm cells. The Nigrosin stain provides dark background for easier recognition of both viable and non-viable spermatozoa.
-
Feulgen kit
Five-reagent DNA staining kit according to Feulgen. For use in semiquantitative DNA determination in histological and cytological samples. The specimen is first treated with hydrochloric acid creating an aldehyde group of DNA that can be visualized by Schiff (BioSchiff) reagent. This reaction is specific for nuclear DNA.
-
Fouchet-Van Gieson kit
Three-reagent kit for visualization of bilirubin and collagen according to Kutllick. Bilirubin is a yellow-brown pigment, but changes to green due to oxidation induced by Fouchet reaction. Green bilirubin can easily be detected on yellowish and pink colored background.
-
Giemsa HP kit
Four-reagent kit for staining Helicobacter pylori in gastroscopic sections according to Lennart. Advantages of this method for detecting H. pylori are sensitive and reproducible results and easy performance.








