Special staining kits for histology and citology
High quality, efficiency, clearly distinguished tissue components and maximum usability of reagents – these all are characteristics of BioGnost’s special staining kits. The kits are easy to use and adapted to fit the user’s needs.
-
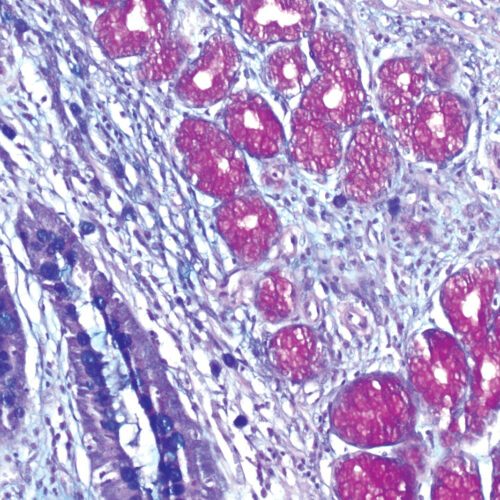
A.F.O.G. kit
Six-reagent Acid Fuchsin Orange G kit for selective staining of glomerular protein deposits and collagen in kidney biopsies.
-
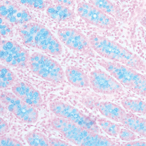
Alcian Blue – P.A.S. kit
Seven-reagent Alcian Blue – Periodic Acid-Schiff kit for staining acid mucopolysaccharides according to Mowry. Enables differentiation between acid mucins (stained light blue) and neutral mucins, glycogens and glycoproteins (stained red).
-
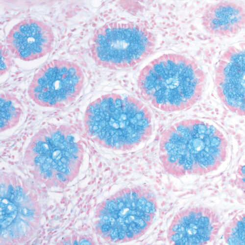
Alcian Blue pH 2.5 kit
Three-reagent kit for staining acid mucopolysaccharides according to Dorling.
-
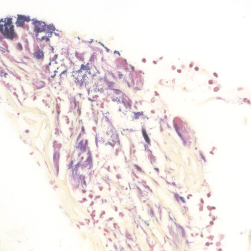
Alcian Yellow Toluidine Blue kit
Six-reagent kit for staining Helicobacter pylori in gastric tissue sections. This method is one of the most popular non-silver method for staining of H. pylori, where bacteria are stained blue in contrast to yellow mucins.
-
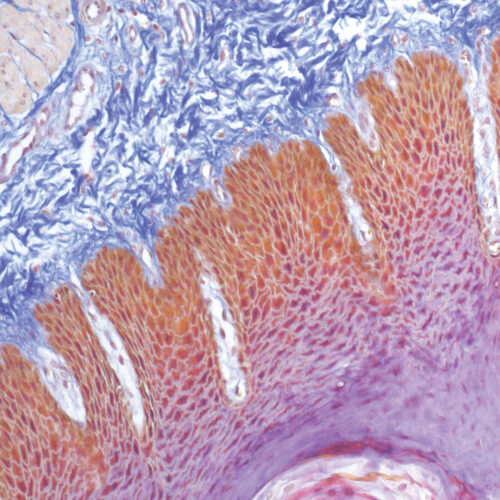
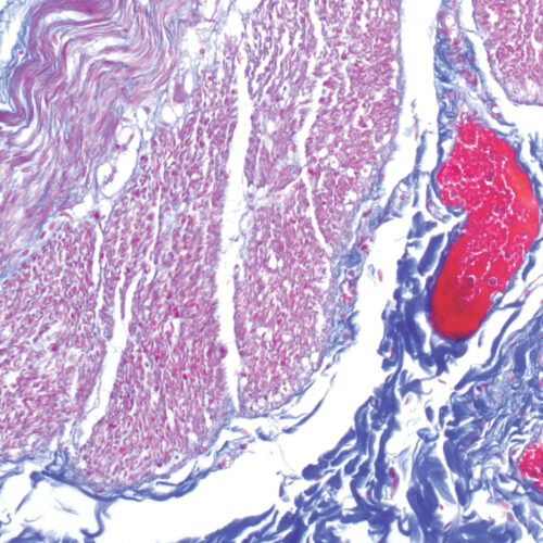
Azan Trichrome kit
Five-reagent kit for connective tissue staining according to Mallory. Used for visualization of muscle fibers, collagen, glial cells, glomerular cells and erythrocytes.
-
Bielschowsky kit
Five-reagent kit for staining nerve fibers, axons, neurofibrils and senile plaques in the central nervous system. Bielschowsky silver stain kit can be used in detecting Alzheimer’s disease and other neurological disorders.
-
BioGram Histo kit
Five-reagent kit for identifi cation of bacteria according to Gram. For differentiation between Gram-positive and Gram-negative bacteria in histology sections.








