Histology and cytology
-
Histology and cytology/Citology and hematology staining reagents/Rapid and standard hematology reagents and kits/Additional staining solutions for hematology and cytology
Tuerk’s solution
Solution for manual counting of leukocytes.
-
UriGnost S kit
Kit for sampling, staining, and microscopic analysis of urine sediment. Contains modified reagent according to Sternheimer (reagent manufactured according to the European Confederation of Laboratory Medicine (ECLM) and all the necessary equipment for sampling, concentrating, staining, and counting cells and kidney cylinders, as well as urine sediment analysis (test tubes with retentive bottom, Eppendorf 200 μL pipette tips and urine plates).
-
UriGnost S reagent
Modification according to Sternheimer for staining and microscopical analysis of urine sediment. A component of UriGnost S kit.
-
UriGnost SM kit
Kit for sampling, staining and microscopic analysis of urine sediments. It contains modified reagent according to Sternheimer-Malbin and equipment required for sampling, concentration, staining, counting of kidney cells and kidney cylinders and urine sediment analysis (test tubes with retentive bottom, Eppendorf 200 μL pipette tips and urine plates).
-
UriGnost SM reagent
Modification according to Sternheimer-Malbin for staining and microscopical analysis of urine sediment. A component of UriGnost SM kit.
-
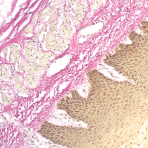
Van Gieson Trichrome kit
Three-reagent kit for staining collagen fibers, muscle tissue, keratinized epithelium, cytoplasm, glial fibers and erythrocytes. Used for differentiation between collagen and smooth fibers in tumors and various other diseases.
-
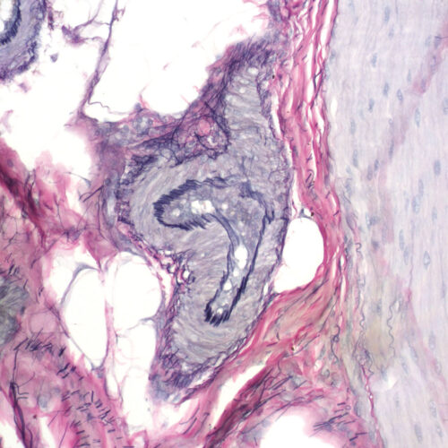
Verhoeff kit
Six-reagent kit for detecting atrophy of elastic tissue in cases of emphysema, thinning and loss of elastic fibers in arteriosclerosis and other vascular diseases, or whether blood vessels have been invaded by a tumor.






